CONFERENCIA

El diagnostico de los tumores malignos de las partes blandas ofrece ciertas dificultades, toda vez que, mientras que las neoplasias mas diferenciadas son facilmente identificables, las formas menos diferenciadas ofrecen dificultades a veces insalvables.

Como consecuencia y, en lineas generales, el diagnostico se basa en la identificacion de cuatro patrones: 1) Patron fusocelular; 2) Patron polimorfo; 3) Patron mixoide;

4) Patron de celulas redondas. El problema es que cada uno de estos cuatro patrones puede aparecer en neoplasias distintas

con arreglo a las siguientes posibilidades:

PATRON FUSOCELULAR: Fibromatosis; fibrosarcoma; fibrohistiocitoma maligno; dermatofibrosarcoma protuberans; leiomiosarcoma; liposarcoma; sarcoma sinovial y mesotelioma.

PATRON POLIMORFO: liposarcoma; fibrohistiocitoma maligno; leiomiosarcoma; rabdomiosarcoma.

PATRON MIXOIDE: mixosarcoma; liposarcoma; fibrohistiocitoma maligno; pseudomixoma peritoneal.

PATRON DE CELULAS REDONDAS: linfoma; rabdomiosarcoma; liposarcoma; tumor de Ewing extraesqueletico.

Por otra parte, no existen marcadores inmunohistoquimicos especificos para cada una de estas neoplasias, por lo que la ayuda de estos metodos es limitada.

Desde el punto de vista del cultivo de tejidos, tampoco estan suficientemente desarrolladas las bases de identificacion morfologica, de modo que los tumores de las partes blandas se incluyen dentro de los crecimientos mecanocitico, epitelioide y ameboide, dentro de los grupos propuestos por Willmer (1).

Sobre estas bases, en nuestro Laboratorio hemos revisado una serie de tumores de partes blandas, que incluyen los siguientes grupos: Fibrosarcoma y proliferaciones fibroblasticas relacionadas; fibrohistiocitoma maligno; liposarcoma, tumores de las cubiertas mesoteliales y sinoviales.

 

1. Tumores fibroblasticos.

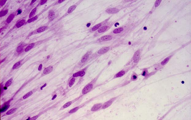
Dentro de este grupo, el mas numeroso, se han estudiado un total de 37 tumores que han desarrollado el mismo patron de crecimiento in vitro. En todos los casos, las fases iniciales han mostrado un crecimiento radial, con celulas largas, independientes, de nucleo ovalado, provisto de uno o dos nucleolos y un citoplasma acintado, plano y eosinofilo con dos largas prolongaciones opuestas. Un numero reducido de celulas fueron tripolares, con dos expansiones paralelas largas, opuestas a la unica, situada en el lado contrario. Este patron se mantuvo durante toda la vida de los explantos, con la unica diferencia, de que en las ultinmas fases, las expansiones distales tendieron a incurvarse (2) (Fig. 1).

El hecho mas interesante de esta casuistica, es que todos estos explantos procedieron de diversos procesos, variantes todos de las proliferaciones fibroblasticas: 2 fibromas celulares cutaneos de curso benigno; 4 fibromatosis extraesqueleticas y 19 fibrosarcomas.

 

2. Liposarcoma.

Se han estudiado 27 casos de este tipo tumoral que incluyen las siguientes variedades: 16 casos mixoides, 1 caso mixoide- pleomorfo, 3 casos pleomorfos, 4 casos bien diferenciados lipoma-like, 2 casos bien diferenciados-pleomorfos, y 1 caso bien diferenciado, esclerosante, con los siguientes resultados (3):

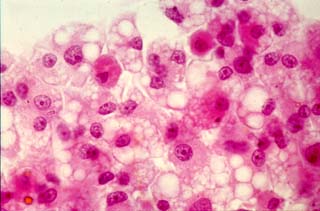
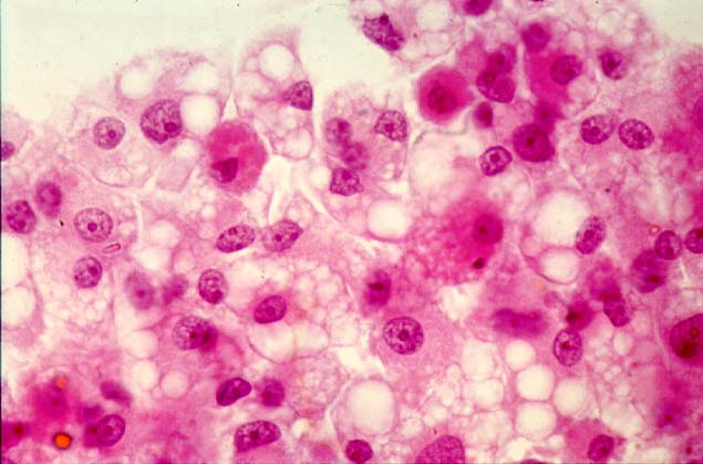
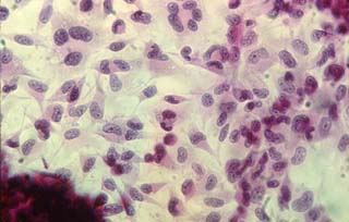
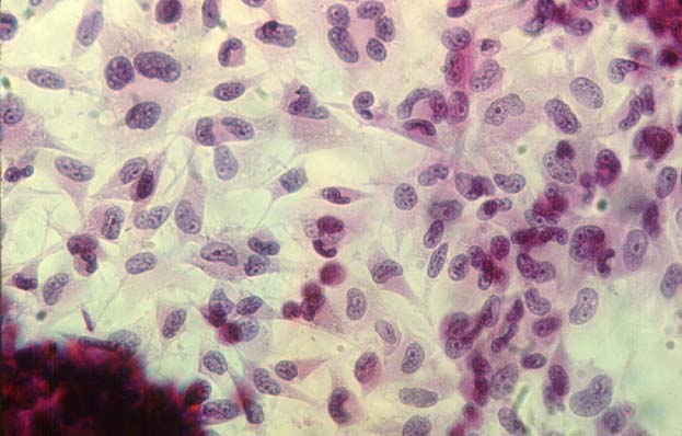
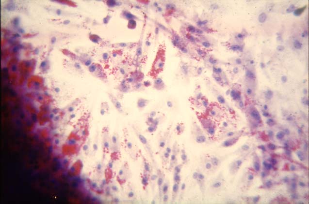
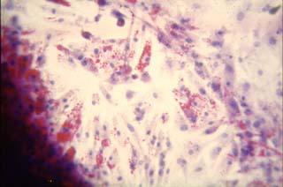
El patron de crecimiento in vitro de todos los casos fue semejante e independiente de la variedad. En las primeras fases, el crecimiento fue radial, con celulas fusiformes de apariencia mecanocitica. Rapidamente, las celulas comenzaron a ser mas poligonales o romboidales, con nucleos unicos o multiples. Entre los dias 9 a 15, comenzo el deposito citoplasmico de gotas de glucogeno, que fue cada vez mas abundante, hasta que, a partir del dia 18, fue sustituyendose progresivamente por gotas de grasa, especialmente abundantes en la periferia del explanto (Fig. 2). En la fase final, los depositos de grasa fueron muy abundantes y las celulas adoptaron una morfologia redondeada, semejante a la de los lipoblastos caracteristicos de los liposarcomas in vivo (Fig. 3).

 

3. Fibrohistiocitoma .

Se han estudiado 26 casos de este tipo tumoral que incluyen: 3 fibrohistiocitomas cutaneos benignos, utilizados como patron comparativo; 18 casos de la variedad storiforme-pleomorfa; 3 casos de la variedad mixoide; 1 tumor de celulas gigantes de las partes blandas y 1 caso de la variedad inflamatoria (4).

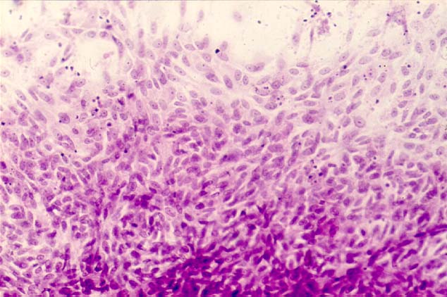
El patron de crecimiento in vitro de todos los casos ha sido superponible con un desarrollo inicial de tipo radial, con celulas fusiformes de aspecto mecanocitico. En la fase de estabilizacion del cultivo, estas celulas se fueron transformando en elementos de soma mas amplio, mas cortas, de distribucion amorfa, con desarrollo de celulas gigantes multinucleadas gigantoides (Fig. 4). Cada variedad de tumor matizo este crecimiento con predominio de celulas bipolares, con nucleo ocasionalmente lobulado, en las variantes storiforme-pleomorfas, un predominio de celulas macrofagicas multinucleadas en la variante inflamatoria (Fig. 5), un mayor numero de celulas estrelladas polimorfas en las variantes mixoides y gran cantidad de celulas osteoclasticas en el tumor de celulas gigantes de las partes blandas.

 

4. Sarcoma sinovial y mesotelioma.

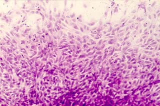
Se han estudiado 7 casos de sarcoma sinovial que han mostrado un crecimiento in vitro absolutamente diferencial (2). En todos los casos, se ha desarrollado un patron epitelial, con una banda homogenea de celulas alrededor del explanto, que se mantvieron cohesivas, formando un tapiz continuo. Solamente en las areas mas perifericas, las celulas tendieron a crecer formando cuñas celulares triangulares, con una minima tendencia a la independizacion (Fig. 6). En todos los casos, la actividad mitosica ha sido muy alta.

Este mismo patron epitelial ha tenido lugar en 6 casos de mesotelioma pleural con formacion de un tapiz continuo de celulas poligonales muy cohesivas (5).

Por ultimo, hemos podido indentificar 2 casos de mesotelioma intrapulmonar, con las mismas caracteristicas de crecimiento epitelial (6).

Uno de los hechos mas llamativos de esta serie reside en la existencia de casos que, con metodos convencionales, mostraron un patron fibroblastico y cuyo comportamiento in vitro demostro su autentica naturaleza, con caracteristicas diferenciales. Dentro de este grupo figuran los siguientes casos:

5 sarcomas sinoviales monofasicos, carentes de diferenciacion epitelial in vivo, que desarrollaron el tipico crecimiento epitelioide-mesotelial (7).

6 mesoteliomas pleurales monofasicos, cuyo patron in vitro fue tambien epitelioide-mesotelial.

5 fibrohistiocitomas malignos monofasicos de partes blandas que mostraron el tipico patron amebocitico de la formas bifasicas clasicas.

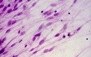
Por otra parte, dentro de este grupo de tumores figuran 13 dermatofibrosarcomas de Darier-Ferrand (8), que en contra de la pretendida naturaleza histiocitica, mostraron un crecimiento radial de celulas fusiformes, persistente todo a lo largo de los cultivos (Fig. 7).

Desgraciadamente, no hemos podido demostrar caracteristicas diferenciales entre los crecimientos fibroblasticos puros y los de origen miofibroblastico (fibromatosis)(Fig.8).

En conclusion, el cultivo de tejidos ofrece grandes posibilidades para la tipificacion correcta de los tumores de las partes blandas, debiendo destacarse los siguientes aspectos:

El cultivo de tejidos presenta:

A) un patron de crecimiento especifico propio de los crecimientos fibroblastico, fibrohistiocitico, adiposo y mesotelial.

B) Estos patrones permiten identificar las formas monofasicas, pseudosarcomatosas de mesotelioma, sarcoma sinovial, fibrohistiocitoma maligno y liposarcoma.

C) El dermatofibrosarcoma protuberans de Darier-Ferrand y las fibromatosis se comportan como proliferaciones fibroblasticas.

 

NOTA:
Las diferencias entre las cifras que se exponen aqui y las que figuran en los trabajos citados en la Bibliografia se deben a que, tras las publicaciones se han seguido estudiando mas casos hasta la actualidad.

 

BIBLIOGRAFÍA

  1. Willmer EN. (1965) Morphological problems of cell type, shape and identification. En Willmer: Cells and tissues in culture. Vol.I. p.p. 143-176 Academic Press. London New York
  2. Escalona-Zapata J. (1979) Cytology and growth patterns of fibrosarcoma and related tumors. En Escalona Zapata-Ozzello: Tissue culture in the study of tumors. Path. Res. Pract.165, 32-38.
  3. Tardio J, Escalona-Zapata J. Diez-Nau MD. The behaviour of liposarcoma in tissue culture. A specific growth pattern. (1993) J. Pathol. 170, 451-456.
  4. Escalona-Zapata J. Diez-Nau MD. (1990) Estudio del fibrohistiocitoma maligno por medio del cultivo de tejidos, con especial enfasis en las formas monofasicas. Patologia (Madrid) 23, 19-27.
  5. Alvarez Fernandez E. Diez-Nau MD. (1979) Malignant fibrosarcomatous mesothelioma and benign pleural fibroma (localized fibrous mesothelioma) in tissue culture. A comparison of the in vitro pattern of growth in relation to the cell of origin. Cancer 43, 1658-1663.
  6. Alvarez Fernandez E. Escalona-Zapata J. (1982) Intrapulmonary mesotheliomas: Their identification by tissue culture. Virchows Arch A. 395, 331-343.
  7. Alvarez Fernandez E. Escalona-Zapata J. ( 1991) Monophasic mesenchymal synovial sarcoma. Its identification by tissue culture. Cancer 47, 628-631.
  8. Escalona-Zapata J. Alvarez Fernandez E Llorca Escuin F. (1981) The fibroblastic nature of dematofibrosarcoma protuberans. A tissue culture and ultrastructural study. Virchows Arch. A 391, 165-175.

 

FIGURAS

FIGURA 1: Fibrosarcoma. Cultivo al 18 dia. H-E- 100 x. Las celulas emigran del explanto en forma radial e independiente, tendiendo a incurvarse en los extremos distales.

 

FIGURA 2: Liposarcoma. Cultivo al 21 dia. Rojo Escarlata 100 x. Las celulas, estrelladas y poligonales, muestran abundantes granulos de grasa en el citoplasma.

FIGURA 3: Liposarcoma. Cultivo al 27 dia. H-E 400 x. En fases mas avanzadas del cultivo, gran numero de celulas poseen multiples gotas lipidicas citoplasmicas, que les dan una morfologia semejante a la de los lipoblastos.

FIGURA 4: Fibrohistiocitoma maligno de las partes blandas. Cultivo al 9 dia. H-E 200 x. Las celulas yacen sobre el cristal sin orden alguno, exhibiendo una morfologia bipolar corta con nucleos unicos, ovales o poligonal con nucleos multiples.

FIGURA 5: Fibrohistiocitoma maligno inflamatorio retroperitoneal. Cultivo al 12 dia. H-E 100 x. Crecimiento amorfo, con intenso predominio de grandes celulas gigantes multinucleadas.

FIGURA 6: Sarcoma sinovial. Cultivo al 12 dia. H-E 100 x. Las celulas tumorales crecen formando un tapiz continuo alrededor del explanto. Solamente en las zonas mas distales hay formacion de cuñas celulares.

FIGURA 7: Dermatofibrosarcoma de Darier-Ferrand. Cultivo al 15 dia H-E 200 x. El crecimiento muestra celulas bipolares, independientes,dispuestas en forma radial, propias de las proliferaciones fibroblasticas. Comparese con las figuras 1 y 3.

FIGURA 8: Fibromatosis extraabdominal. Cultivo al 9 dia. H-E 100 x. El crecimiento es de caracter fibroblastico, no distinguiendose del propio de todo el grupo de proliferaciones de este origen. Comparese con la figura 1.