INTRODUCCIÓN

Recientemente se han descrito imágenes glomeruloides en el adenocarcinoma de prostata, y se ha incidido en la importancia diagnóstica de su reconocimiento.

 

CASO CLÍNICO

Paciente varón que consulta por síntomas obstructivos urinarios y hematuria intermitente durante los últimos 6 meses. Tacto rectal: próstata pétrea. Se realiza punción biopsia transrectal, obteniéndose 3 cilindros de cada lóbulo. Diagnóstico histológico: adenocarcinoma en ambos lóbulos (índice de Gleason 4+3). Estadiaje clínico: T2b. Tratamiento: prostatectomía radical.

Macroscopía: Próstata de 61,7 g de peso y 5,5x4x4 cm de dimensiones y ganglios obturatrices derechos (2) e izquierdo (1). Al corte seriado, la glándula presenta una tumoración amarillenta, de límites imprecisos, que afecta a ambos lóbulos.

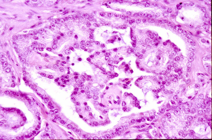
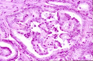
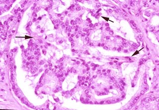
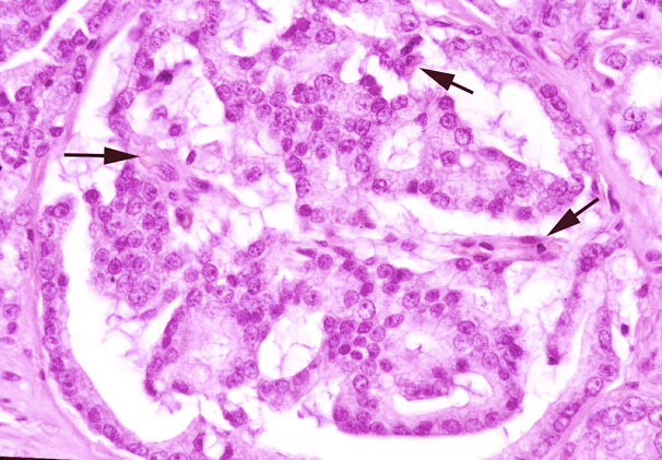
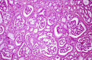
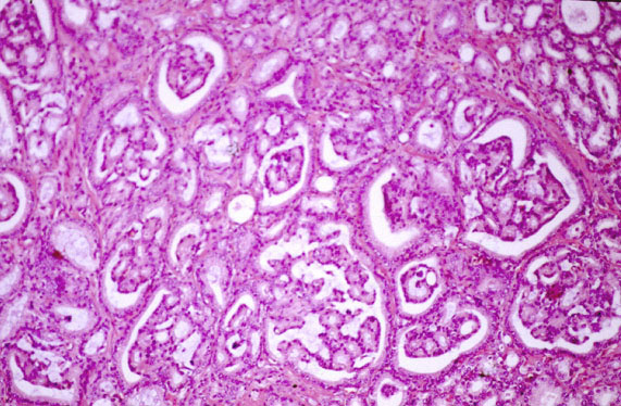
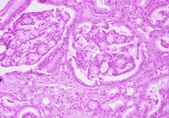
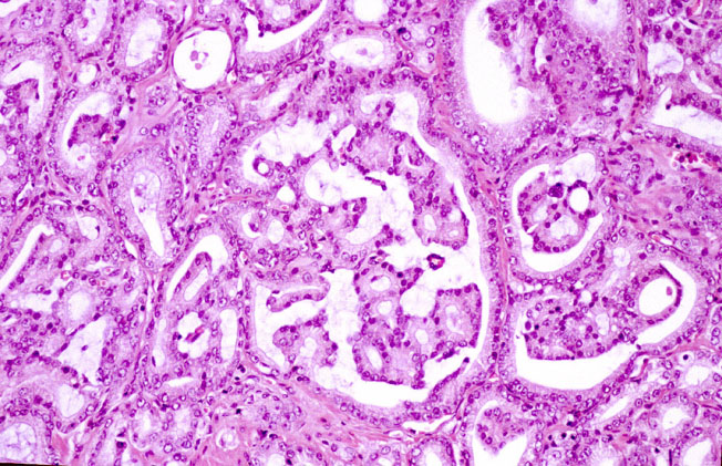
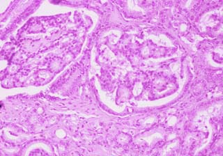
Histología: Adenocarcinoma convencional, índice de Gleason 4+3, que afecta a ambos lóbulos, al apex, y a los bordes quirúrgicos. Vesículas seminales no infiltradas. Invasión perineural. Areas de PIN de alto grado. Ganglios linfáticos libres. (pT3a/pN0). Solamente en el apex se observan múltiples imágenes glomeruloides (Figuras). Estas consisten en luces glandulares dilatadas en las que han crecido procesos papilares complejos, pediculados y ramificados, a veces con eje conectivo, tapizados por células malignas, que rellenan el interior de manera similar a como lo hace un ovillo glomerular (Figs. 1 y 2).

 

DISCUSIÓN

Aunque la primera mención sobre ciertas estructuras glomeruloides en el adenocarcinoma de prostata la hace Epstein en 1995 (1), no es hasta 1998 cuando aparece el primer artículo sobre este detalle histológico (2). Según estos autores, se trata de un hallazgo extraordinariamente infrecuente y exclusivo del carcinoma (solo el 4,5% de las prostatectomías radicales lo presentan). Al parecer, solo se observa en el apex ó en zonas muy periféricas de la próstata, y debe ser distinguido del patrón cribiforme, tan común en el adenocarcinoma convencional. La importancia práctica reside en que su identificación en biopsias pequeñas o con escasa representación tumoral, en cilindros-biopsia preferentemente, implica un diagnóstico de seguridad de carcinoma.

 

BIBLIOGRAFÍA

    1. Epstein JE. Prostate Biopsy Interpretation, 2nd ed., Lippincott-Raven Publishers, Philadelphia, 1995
    2. Pacelli A, Lopez-Beltrán A, Matthew Egan AJ, Bostwick DG. Prostatic adenocarcinoma with glomeruloid features. HUM PATHOL 28: 543-546, 1998.

 

FIGURAS

 

Figura 1

 

Figura 2

 

Figura 3

 

Figura 4

 

Figura 5