INTRODUCCIÓN

El Carcinoma Pilomatricial se reconoció como una variante maligna de pilomatrixoma por Lopansri y Mihm en 1.980. Este tipo de carcinoma es muy poco frecuente, no llega a 60 los casos publicados en la literatura. Es importante la separación del pilomatrixoma para indicar una adecuada extirpación quirúrgica, ya que con frecuencia recurren ( 60% ) y pueden llegar a dar metástasis viscerales. Suele confundirse este tumor con el carcinoma de células basales con diferenciación matricial.

 

PRESENTACIÓN DEL CASO

Mujer de 53 años con tumoración localizada en rodilla con múltiples recurrencias.

 

DIAGNÓSTICO DIFERENCIAL

C. PILOMATRICIAL

Múltiples nódulos infiltrantes
Atipia citológica moderada/severa
Presencia de necrosis
Mitosis atípicas

PILOMATRIXOMA

Nódulo único
Atipia ausente
Ausencia de necrosis
Mitosis atípicas ausentes

C. PILOMATRICIAL

Nódulos ulcerando epidermis
No empalizada
No despegamiento
Estroma fibrocolagénico

C. BASOCEL. MATRICIAL

Nódulos conexión epidermis
Empalizada periférica
Despegamiento perinodular
Estroma fibromixoide

C. PILOMATRICIAL

Nódulos. Asimetria
Nódulos ulcerando epidermis
Necrosis en focos
Permeación lifatica y/o vascular

P. PROLIFERANTE

Nódulos. Relativa simetria
Muy rara ulceración
Necrosis en células aisladas
No permeación

 

COMENTARIO

- El CP es más frecuente en hombres ( 4:1 ), edad media de 45 años y localización por orden de frecuencia en cuello, espalda, zona preauricu- lar,etc. Nuestro caso destaca al tratarse de una mujer, de edad superior a la media y por localizarse en rodilla, no estando descrito ningún caso en miembros inferiores.

- El tamaño en nuestro caso está en los límites altos ya que suelen oscilar entre 1 - 10 cms.

- El CP de crecimiento lento puede recurrir con frecuencia, sobre todo en caso de extirpación incompleta, llegando a un 60%. El caso presentado corresponde a una segunda recidiva, comportándose de forma muy agresiva localmente dado el gran tamaño y que infiltra tejidos periarticulares. Una nueva recidiva indicaría según criterios quirúrgicos la amputación del miembro.

- La posibilidad de metástasis a distancia no es muy alta. En la serie de 20 casos de Purnima y col, uno falleció por metástasis a distancia y hay descrito en la literatura sólo 4 con metástasis viscerales.

- Las múltiples recidivas, el rápido crecimiento, el tamaño alcanzado y la agresividad histológica ( el alto índice mitósico ), hacen prever un mal pronóstico para este cuadro.

 

BIBLIOGRAFÍA

    1. Singh S, Cotton K. Pilomatrix carcinoma and multiple pilomatrixomas. British Journal of Dermatology.1.996 ; 134: 368-371.
    2. NiedermeyerP,Peris K, Höfler H. Pilomatrix carcinoma with multiple visceral metastases. Report of a case. Cancer April 1.1.996;77 (7): 1.311-14.
    3. Sau P, Lupton GP, Graham H. Pilomatrix carcinoma. Cancer April 15,1.993;71(8): 2.491-98.
    4. Hunt J,Abell E. Malignant hair matrix tumor (“malignant trichoepithelioma “) arising in the setting of multiple hereditary trichoepithelioma. The American Journal of Dermatopathology 1.991; 13(3): 275-281.

 

FIGURAS

Figura 1: Tumoración de 10 x 3,5 cms de consistencia firme y coloración blanquecina.
Localizada en dermis y tejido subcutáneo, extendiéndose a partes blandas adyacentes (tejido periarticular), que ulcera y deprime la piel.

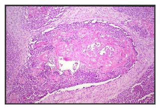
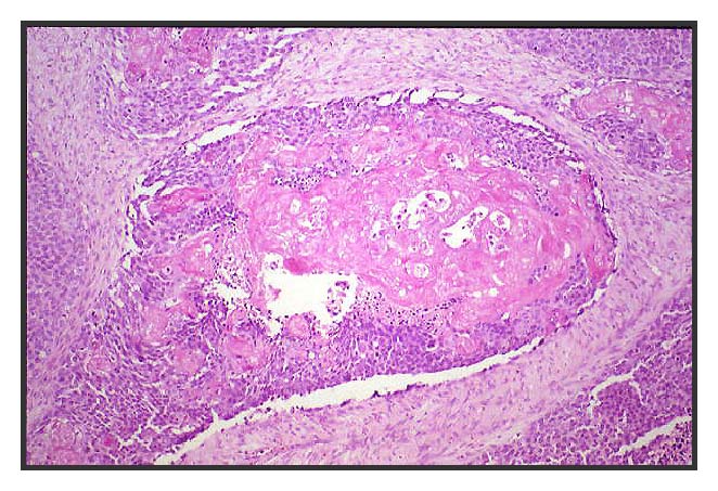
Figura 2: Nidos sólidos de células basalioides con necrosis central y carácter infiltrante.

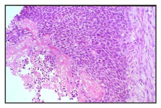
Figura 3: Células neoplásicas en progresión hacia células fantasmas. Diferenciación matricial.

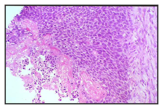
Figura 4: Alta densidad celular y moderada atipia citológica. Alto índice mitósico ( 47/10 campos de gran aumento ).