.
Comunidad Virtual de Anatomía Patológica (Conganat) titulo páginas

Meningoencefalitis amebiana primaria. Reporte de un caso.

Dr. Osiris Cubero Menéndez* y Dr. David Cubero Rego**

*Especialista de Segundo Grado en Anatomía Patológica.Hospital ¨Willian Soler¨ **Especialista de Primer Grado en Anatomía Patológica,Hospital ¨Hermanos Ameijeiras¨

Cuba
 Resumen
Introducción : La infección del sistema nervioso central producida por amebas es un evento raro a nivel mundial, se distingue la afectación primaria por amebas de vida libre de aquella producida de manera secundaria por Entamoeba Histolítica localizada inicialmente en otro sitio. Las amebas de vida libre comprenden un grupo de protozoos aeróbicos de distribución universal que incluyen el género Naegleria, Acanthamoeba y Leptomixid. El objetivo de este trabajo es reportar un caso de meningitis amebiana primaria producido por Naeglerias y revisar la literatura.
Material y Método : Se realiza un estudio macro y microscópico del encéfalo y resto de los órganos con técnicas de Hematoxilina/Eosina, Pas y Tricrómica de Mallory.
Caso Clínico: Paciente masculino, con antecedentes de salud que ingresa 52 horas antes de la muerte por cuadro de fiebre, vómitos y cefalea intensa, con el antecedente epidemiológico de haberse bañado en un embalse de agua dulce días antes. Evoluciona tórpidamente con intranquilidad, convulsiones tónico-clónicas generalizadas y agobio respiratorio, hace parada cardiorespiratoria y fallece.
Estudio macroscópico :
El encéfalo pesó 1580 gramos, con marcados signos de edema cerebral. Las leptomeninges se encontraron opacas con presencia de un exudado purulento perivascular, con marcada congestión de los vasos meningeos, el proceso era más evidente hacia las porciones basales de los lóbulos frontales.
Estudio microscópico :
Se identificó la presencia de un exudado purulento en el espacio subaracnoideo con marcada congestión vascular y áreas de necrosis del parénquima encefálico. En el espacio subaracnoideo de forma aislada y de manera característica con disposición perivascular en los espacios de Virchow-Robin se identificó la presencia de amebas, de citoplasma vacuolado con gránulos que se teñían de rojo con la Técnica de Mallory, con núcleo redondo pequeño y presencia de cariosoma central rodeado de un halo claro.
Conclusiones: La meningoencefalitis amebiana primaria producida por Naeglerias es un proceso raro, con alta letalidad y de diagnóstico microscópico difícil tanto en vida como en el estudio necrópsico.
 Introducción
Las infecciones del sistema nervioso central (SNC) producidas por protozoarios presentan una alta incidencia en países del tercer mundo de determinadas regiones geográficas, básicamente el paludismo y la tripanozomiasis (1). La afectación producida por amebas es un evento raro a nivel mundial, se distingue la afectación primaria por amebas de vida libre de aquella producida de manera secundaria por Entamoeba Histolítica localizada inicialmente en otro sitio (2).
Las amebas de vida libre comprenden un grupo de protozoos aeróbicos de distribución universal que incluye el género Naegleria, Acanthamoeba y Leptomixid, múltiples especies han sido descritas dentro de cada uno de estos géneros (3,4).
La infección producida por Naegleria Fowleri es conocida como meningoencefalitis amebiana primaria (MAP) y provoca un cuadro agudo con una letalidad cercana al 100% y las producidas por Acanthamoeba y Leptomixid produce una encefalitis granulomatosa amebiana (EGA) de evolución crónica (5).
La Naegleria Fowleri se adquiere por contacto con aguas contaminadas. Piscinas, lagos o cualquier depósito de agua dulce o salobre permite la multiplicación del protozoario principalmente en los meses calurosos de verano. Las amebas ascienden a través de la mucosa olfatoria atravesando la lámina cribosa del etmoides hasta alcanzar las porciones basales del cerebro, donde provocan una meningoencefalitis purulenta (6).
El objetivo de este trabajo es reportar un caso de meningitis amebiana primaria.
 Material y Métodos
Se realiza un estudio de autopsia macro y microscópico del encéfalo y el resto de los órganos con las técnicas clásicas de Hematoxilina/Eosina, Pas y Tricrómica de Mallory en tejido fijado en formol al 10% y procesado de forma rutinaria.
 Resultados
Caso Clínico.
Paciente masculino de 8 años de edad, de la raza blanca, con antecedentes de salud, que ingresa 52 horas antes de la muerte por cuadro de fiebre, vómitos y cefalea intensa, con el antecedente epidemiológico de haberse bañado en un embalse de agua dulce días antes. Se le realiza punción lumbar en la que se obtiene un líquido turbio con 487 células a predominio linfoide, Pandy +++, proteínas 20,2 mg/100, glucosa 60 mg/100. No se obtuvo crecimiento bacteriano del líquido. Se impone tratamiento antiedema y antibiótico. Evoluciona tórpidamente con intranquilidad, convulsiones tónico-clónicas generalizadas y agobio respiratorio, hace parada cardiorespiratoria y fallece.

Anatomía Patológica
Estudio macroscópico:
El encéfalo pesó 1580 gramos. El cerebro presentó marcados signos de edema cerebral dado por ensanchamiento de las circunvoluciones y borramiento de los surcos, hernias amigdalinas y uncales bilaterales. Las leptomeninges se encontraron opacas con presencia de un exudado perivascular con marcada congestión de los vasos meníngeos. A nivel de la cisura de Silvio, tallo cerebral y porción orbitaria de los lóbulos frontales el proceso era más evidente con focos de hemorragia. Al corte se identificaron focos de hemorragia de la sustancia blanca hacia la cara orbitaria de los lóbulos frontales.
Estudio microscópico:
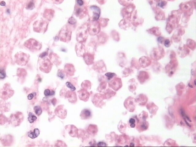
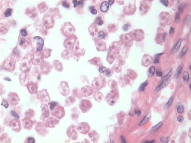
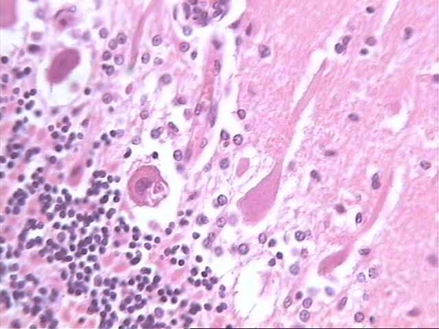
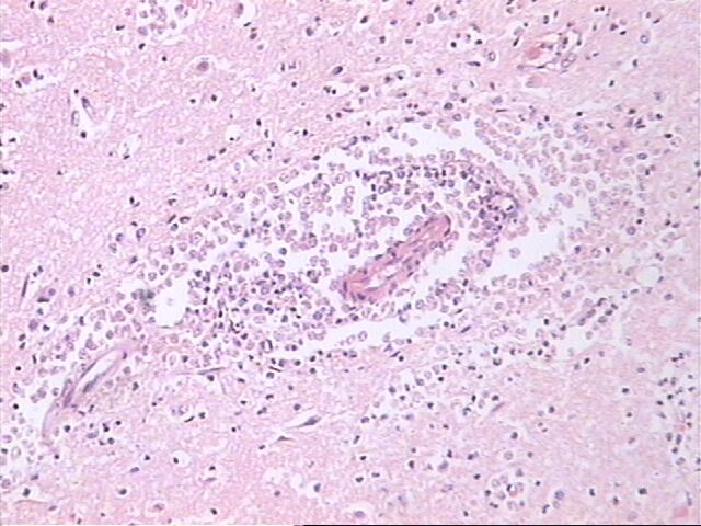
Se identificó la presencia de un exudado inflamatorio rico en leucocitos polimorfonucleares neutrófilos y en menor cuantía células mononucleares en el espacio subaracnoideo, con marcada congestión vascular y áreas de necrosis del parénquima encefálico. En el espacio subaracnoideo de forma aislada y de manera característica con disposición perivascular en los espacios de Virchow-Robin (Figura 1) a nivel cortical se identificó la presencia de amebas de citoplasma vacuolado (Figura 2) con gránulos citoplasmáticos que se teñían de rojo con la Técnica de Mallory (Figura 3), algunas amebas fueron identificadas en el citoplasma de las células de Purkinje a nivel del cerebelo (Figura 4), con núcleo redondo pequeño y presencia de cariosoma central rodeado de un halo claro (Figura 5).
En el resto de la autopsia solo se identificó una miocarditis aguda focal.
Imagen de Meningoencefalitis amebiana primaria. Reporte de un caso.Zoom
Columnas de amebas ascendiendo por los espacios de Virchow-Robin. 20X.H/E.
Imagen de Meningoencefalitis amebiana primaria. Reporte de un caso.Zoom
Amebas con citoplasma vacuolado y cariosoma central. 40X. H/E.
Imagen de Meningoencefalitis amebiana primaria. Reporte de un caso.Zoom
Gránulos rojos en el citoplasma de las amebas. 40X. Tricrómica de Mallory.
Imagen de Meningoencefalitis amebiana primaria. Reporte de un caso.Zoom
Ameba en el citoplasma de una célula de Purkinje. 40X. H/E.
Imagen de Meningoencefalitis amebiana primaria. Reporte de un caso.Zoom
Ameba intracitoplasmática. 100X. H/E.
Imagen de Meningoencefalitis amebiana primaria. Reporte de un caso.Zoom
Amebas con su cariosoma central. 40X.H/E.
 Discusión
En 1961 Culbertson predijo la posibilidad de que las amebas de vida libre podían causar enfermedad en los humanos. En ese mismo año Fowler y Carter reportan 4 casos de MAP en el sur de Australia aunque la etiología no se reportó hasta 1965 (7).
En los casos descritos se reporta el antecedente de inmersión en embalses de agua al igual que en nuestro caso. La evolución clínica descrita coinside con la reportada en la literatura, de un cuadro de meningoencefalitis aguda con una evolución letal. Algunos autores plantean que los casos subclínicos debidos a amebas de vida libre son posiblemente más frecuentes que lo pensado, pues se han descrito las amebas como parte de la flora orofaringea. Otros autores han planteado el posible papel de las amebas como vectores para entrada de otros microrganismos al SNC (5).
Las alteraciones anatomopatológicas coinciden con las reportadas en la literatura (7). La presencia de un exudado purulento en el espacio subaracnoideo con preferencia por las porciones orbitarias de los lóbulos frontales incluidos los bulbos olfatorios, consistente con el sitio de entrada de las amebas, área optoquiasmática, porciones basales de los lóbulos temporales, tallo y cerebelo, con zonas francas de necrosis.
El estudio histológico muestra un exudado constituido por leucocitos polimorfonucleares neutrófilos, áreas de hemorragia y focos de necrosis. Los trofozoitos estan presentes de forma aislada en el espacio subaracnoideo y de manera característica se identifican columnas de amebas en los espacios de Virchow - Robin. La afectación de otros órganos ha sido descrita aunque es infrecuente, excepto el miocardio donde se reporta una miocarditis aguda en el 44 % de los casos, esta estuvo presente en nuestro caso.
El diagnóstico diferencial microscópico se debe realizar con meningitis agudas con cultivos y estudios de Gram negativos, lo cual es mucho mas frecuente que las MAP, también se debe hacer con abscesos cerebrales abiertos al espacio subaracnoideo dado que los histiocitos pueden remedar morfológicamente a las amebas.
 Bibliografia
1. Marcial M, Marcial-Rojas RA. Protozoal and helminthic disease. En: Kissane JM. Anderson´s Pathology. The C. V. Mosby Company St. Louis. 1990, pp 433.
2. John DT. Primary amebic meningoencephalitis and the biology of Naegleria fowleri. Ann Rev Microbiol 1986;27:137-141.
3. Martinez AJ. Free-living amebas: natural history, prevention, diagnosis, pathology, and treatment of disease, 1est ed. Boca Raton, Florida, FL: CRC Press, 1985.
4. Visvesvara GS, Martinez AJ, Schuster FL, et al. Leptomixid ameba, a new agent of amebic meningoencephalitis in human and animals. J Clin Microbiol 1990;28:2750-56.
5. Martinez JA. Amebas de vida libre y su poder patogeno. En: Temas de Neuropatologia. Luna MA, Blasco Olaetxea E, Garcia Tamayo J.Ars Grafica, SA. Maracaibo,1997, pp 9.
6. Martinez AJ, Duma RJ, Nelson EC, Moretta FL. Experimental Naegleria meningoencephalitis in mice. Penetration of the olfactory mucosal epithelium by Naegleria and pathologic changes produced: A light and electron microscope study. Lab Invest 1973;29:121-133.
7. Cegielski JP, Durack DT. Protozoal Infections of the Central Nervous System. En: Scheld WM, Whitley RJ, Durack DT. Infections of the Central Nervous System. Raven Press, Ltd., New york, 1991, pp 767.

NOTA: Esto es un foro médico profesional, que no tiene como objetivo ofrecer consejo médico o de salud. Los mensajes enviados a este foro solicitando estos consejos, no serán atendidos. La información científica ofrecida está refrendada por las referencias y bibliografía correspondientes y de su veracidad son responsables sus autores. La participación en este Congreso es gratuita.

Todos los derechos reservados (C) UNINET 2002
Versión 1.0

Si experimenta cualquier problema en la edición de su trabajo envie un mensaje a la siguiente dirección: conganat@uninet.edu
Powered by Zope
Powered by MySQL
100% Micro$oft free!