Comunidad Virtual de Anatomía Patológica (Conganat)

 

 

 

EXPERIENCIA EN LA DETERMINACION DE HER-2/Neu CON LA TECNICA HERCEPTEST

Manuel Florentino Fresno Forcelledo

Hospital Central de Asturias. Servicio de Anatomía Patológica

Universidad de Oviedo

 


INTRODUCCIÓN

El cáncer de mama constituye un serio de problema de salud en todo el mundo y en España también, ya que constituye la primera causa de muerte por cáncer femenino en nuestro país. Recientemente, la mayoría de los esfuerzos se han dirigido a su diagnóstico precoz, lo que ha dado como resultado una prolongación de la sobrevivencia, sin embargo, la mortalidad global no ha experimentado una mejoría en los últimos 20 años. Estas campañas de detección precoz, la mayor concienciación y educación pública y los métodos diagnósticos de imagen han posibilitado un diagnóstico más temprano de la enfermedad de tal forma que aproximadamente dos tercios de las enfermas no presentan afectación ganglionar en el momento del diagnóstico.

MARCADORES BIOLOGICOS PRONOSTICOSY PREDICTIVOS

La mayoría de estudios orientados a la búsqueda de marcadores pronósticos en el cáncer de mama se han dirigido al grupo de enfermas con ganglios linfáticos negativos en un intento de poder predecir que enfermas podrían beneficiarse de una terapia complementaria y de esta forma limitar la cirugía y terapia local para tumores de bajo riesgo. Los tratamientos quimioterápicos adicionales pueden mejorar la sobrevivencia en pacientes con carcinomas en estadios iniciales. Dado el carácter tóxico de muchos fármacos anticancerosos la selección cuidadosa de las pacientes subsidiarias de tratamiento ha de ser meticuloso.

En el momento del diagnóstico el 70% de los carcinomas no presentan afectación ganglionar (Figura 1). En un grupo cada vez más amplio de casos (diagnóstico por screening), el tumor mide menos de 1 cm. La probabilidad de recurrencia en este grupo de tumores es menor del 10%. Casi todo el mundo está de acuerdo en no tratar a estas enfermas. En otro grupo de enfermas con ganglios linfáticos negativos, el tumor mide mas de 3 cm, si además son receptores de estrógenos (RE) negativos, prácticamente todo el mundo esta de acuerdo en tratar complementariamente a estas enfermas. El problema se plantea en situaciones intermedias. Es en este caso donde se necesitan marcadores pronósticos que nos faciliten el tomar la decisión de tratar a la enferma. Estos marcadores asociados con un fenotipo más agresivo se llaman marcadores pronósticos y la lista de los que se han estudiado en ensayos múltiples es muy amplia pero al día de hoy los únicos aceptados universalmente son el grado histológico (GH), tamaño tumoral y RE. El 30% restante de tumores muestra ganglios linfáticos positivos en el momento del diagnóstico y estos tumores son tratados todos con terapia adyuvante, no olvidemos que el estado ganglionar es, hasta el memento, el mejor marcador pronóstico.

En el grupo de enfermas que son tratadas complementariamente, además de factores pronósticos sería de gran utilidad el conocer alguna característica fenotípica reconocida por algún marcador que estuviera asociada con una buena respuesta al tratamiento quimioterápico y/o hormonal o también al radioterapico. Se trataría de un marcador predictivo de respuesta al tratamiento. El grupo de marcadores de este tipo es también muy escaso y solo los RE, y probablemente EGFR y C-erbB-2 (HER-2/neu ) podrían incluirse en este grupo.

Oncoproteina c-erbB-2 (HER-2/Neu)

La amplificación de algunos oncogenes o la expresión aumentada de sus oncoproteinas especialmente c-erbB-2, también llamado NEU y HER-2 (estrechamente relacionado, pero diferente al RFCE) se ha asociado con un peor pronóstico en el cáncer de mama. El gen HER-2 forma parte de una familia de genes con actividad tirosin-quinasa que codifica una proteína transmembrana. El dominio extracelular es un receptor que interacciona con un factor de crecimiento aún no identificado. La zona intracelular tiene actividad tirosin-quinasa y fosforiliza proteinas citoplasmáticas que transmiten las señales mitógenas captadas por el receptor al interior de la célula.

La forma activa del gen es la dimérica, stableciendose homodímeros o bien heterodímeros con otros genes de la familia. La interacción con el ligando activa la función tirosin-quinasa del dominio intracelular. Esta activación fosforiliza una serie de proteinas citoplasmáticas y envian una señal mitógena al núcleo que propicia la divión celular y la proliferación (Figura 2)

Esta secuencia de acontecimientos suceden en las células normales. En las células tumorales existe una amplificación del gen con aumento en el número de copias, aumento en la transcripción de RNA mensajero y aumento la codificación de proteinas. Por lo tanto la activación del gen HER2 se podrá valorar tanto a nivel del ADN nuclear como a nivel del RNAm y de la oncoproteína (Figura 3)

La amplificación de c-erbB-2 se ha detectado en mas del 25% de carcinomas de mama en estadio I y en 40% en estadio II. La amplificación se ha observado preferentemente en tumores RE negativos. La amplificación del gen se correlaciona bien con niveles altos de la expresión de su oncoproteina ( Figura 4)

Si bien muchos autores han encontrado una correlación entre la expresión aumentada de c-erbB-2 y factores pronósticos adversos tales como metástasis ganglionares, grado histológico y contenido de RE, otros grupos de investigadores han sido incapaces de encontrar ninguna correlación y muchas veces los resultados han sido controvertidos. Las diferentes metodologias utilizadas y los diferentes criterios en la selección de los pacientes explicarian muchas de las diferencias observadas en los estudios.

En nuestra experiencia la positividad para c-erbB-2 se observó constantemente (100% de los casos) en carcinomas intraductales de tipo pagetoide, pero no en otros tipos de carcinoma intraductal. Observamos una mayor expresión, estadísticamente significativa, en tumores con alto índice de proliferación (Ki-67 y PCNA) y con grado histológico alto (p<0.05). En tumores con ganglio linfáticos positivos la expresión de c-erbB-2 no se correlacionó con el status ganglionar, aunque sí lo hizo con el número de ganglios linfáticos afectados (p<0.05). Unicamente encontramos una asociación significativa entre la positividad para c-erbB-2 y el periodo libre de enfermedad en el grupo de enfermas con ganglios positivos (p=0.05)

La oncoproteína HER-2 es un componente normal expresado en distintos tipos de células tumorales, En el cáncer de mama, una fracción de pacientes sobreexpresan HER-2 como parte del proceso de transformación maligna. Esta sobreexpresión ha hecho de HER-2 que sea la diana a la que se han dirigida tratamientos que utilizan anticuerpos monoclonales. El HERCEPTINTM es un anticuerpo monoclonal humanizado con una gran afinidad por HER-2 y que tanto en estudios in vitro como in vivo inhibe la capacidad proliferativa de los tumores que sobreexpresan HER-2.

 

METODOLOGIA

La activación de HER-2 se realiza por amplificación génica, es decir las células tumorales poseen un mayor número de copias del gen que las células normales. El mayor número en copias del gen se traduce en un aumento del RNA mensajero y en los niveles de proteína codificada por el gen. Se pueden, por lo tanto, utilizar métodos de estudio de DNA, RNA mensajero y de proteínas para valorar la activación de HER-2. Estas metodologias incluyen:

  1. Southern blot
  2. FISH (hibridación in situ con sondas fluoresceinadas)
  3. Northern blot
  4. PCR-transcriptasa inversa
  5. Western blot
  6. Inmunohistoquímica

Las técnicas de FISH e inmunohistoquímicas tiene la ventaja, sobre el resto, que permiten preservar la morfologia del tumor y valorar por lo tanto la localización de la activación del gen.

Las técnicas inmunohistoquímicas han utilizado diferentes anticuerpos dirigidos contra diferentes dominios de la oncoporteina. Los resultados han sido muchas veces discrepantes. Los sistemas de revelado han sido diferentes: PAP, ABC y Envisión. También los anticuerpo utilizados han sido varios: policlonales (AO485 y monoclonales (TAB250, CB11 y 4D5).

Recientemente la FDA (Food and Drug Administration) de EEUU ha validado tres sistemas para la determinación del HER-2. Dos de estos sistemas utilizan técnicas de FISH y uno una técnica inmunohistoquímica (HercepTestTM)

La determinación inmunohistoquímica del HER-2 (Neu) o c-erbB-2, fue realizada popr nosotros con el kit HercepTestTM (Dako). Este Test utiliza un anticuerpo policlonal (AO485) , elegido por su alta afinidad por el HER-2 en material procesado rutinariamente. La técnica se realiza en material procesado de forma rutinaria con fijación en formaldehido e inclusión del material en parafina. El protocolo se desarrolla en dos etapas: un primer paso consiste en la utilización de un anticuerpo primario de conejo frente a la proteína humana HER-2/neu, con un segundo paso en el que utiliza un anticuerpo secundario de cabra anti-conejo y peroxidasa de rábano como enzima trazadora de la reacción. Como cromógeno se utiliza la diaminobenzidina y ENVISION (Dako) como sistema de visualización.

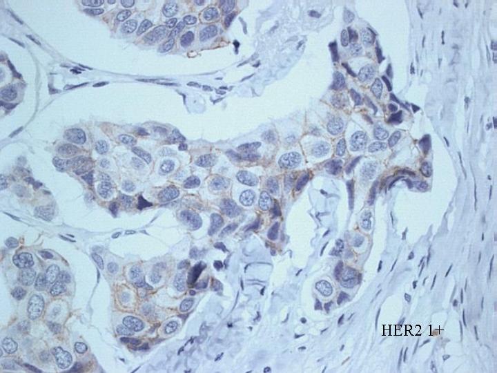
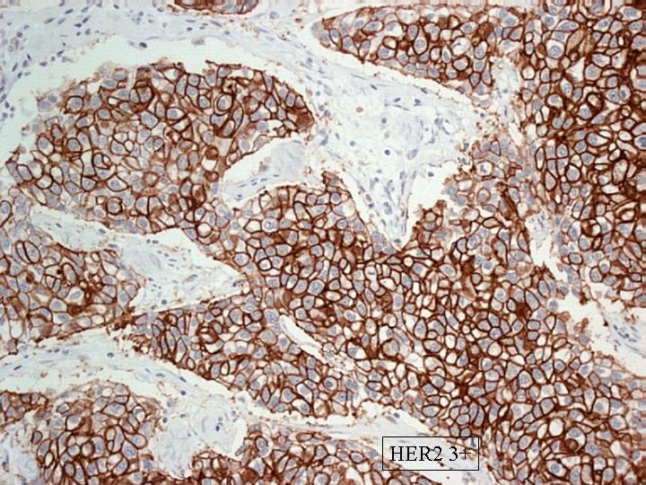
La lectura de los resultados se realiza de una forma semicuantitativa usando un microscopio óptico. La positividad se valora teniendo en cuenta el grado de intensidad y la extensión de la tinción en la membrana de las células tumorales. Los resultados se expresan de 0 a 3+. Cero y 1+ son considerados como negativos a efectos de tratamiento clínico, mientras que 2+ y 3+ son considerados como positivos. Cero significa ausencia total de tinción de membrana. 1+ se interpreta como una débil e incompleta tinción en al menos un 10% de células tumorales. 2+ se interpreta como una tinción de intensidad moderada y completa en toda la membrana en mas del 10% de células tumorales. 3+ se interpreta como un tinción intensa en toda la membrana celular en mas del 10% de la población tumoral (Figuras 5,6,7,8)

 

RESULTADOS Y COMENTARIOS

Se revisarón un total de 102 carcinomas de mama. De ellos, 81 correspondian a carcinomas ductales infilrantes, 12 a carcinomas intraductales , 8 a carcinomas lobulillares infiltrantes y 1 a carcinoma lobulillar in situ. Los resutados del HercepTest fueron los siguientes (Tabla I)

HER2

Frecuencia

Porcentaje

0

1+

2+

3+

64

11

8

19

62,7

10,8

7,8

18,6

Tabla I. HER2. Frecuencias

En la Tabla II se muestran los resultados del Herceptest en cada tipo histológico

HER2

CDI

CID

CLINF

CLIS

Total

0

1+

2+

3+

  1. (59,3%)

8 (9,9%)

7 (8,6%)

18 (22,2%)

8 (66,7%)

2 (16,7%)

1 (8,3%)

1 (8,3%)

1 (100%)

7 (87,5%)

1 (12,5%)

64

11

8

19

Total

81

12

1

8

102

Tabla II. CDI: carcinoma ductal infiltrante. CID: carcinoma intraductal

CLINF: carcinoma lobulillar infiltrante. CLIS: carcinoma lobulillar in situ

De acuerdo con el tipo histológico, todos los casos de carcinoma lobulillar fueron negativos. Todos los casos de carcinoma intraductal, excepto dos correspondian a la variedad de célula pequeña con patrón sólido, cribiforme o micropapilar.

 

 

 

 

 

Hemos relacionado los resultados del Herceptest con el grado histológico (Scarf-Bloom) de los carcinomas ductales infiltrantes (Tabla III y Figura 9).

HER2

S-B 1

S-B 2

S-B 3

Total

0 y 1+

12 (92,3%)

24 (70,6%)

20 (58,8%)

56 (69,1%

2+ y 3+

1 (7,7%)

10 (29,4%)

14 (41,2%)

25 (30,9%)

Total

13

34

34

81

Tabla III. S-B. Scarf- Bloom

Como se puede apreciar en la Tabla III el 41,2% de los CDI grado 3 eran positivos (2+ y 3+) frente al 7,7% de los casos de grado histologico 1. Esta asociación se acercó a la significación estadística (p=0.08)

Observamos un mayor número de casos positivos para HER-2 en carcinomas con RE negativos. Esta asociación era altamente significativa (p=0.002) si considerábamos únicamente los casos con tinción intensa para Herceptrst (3+) y para RE (3+) (Tabla IV y Figura 10)

HER2

RE Neg o débil

RE intenso

Total

0, 1+ y 2+

33 (68,8%)

50 (92,6%)

83 (81,4%)

3+

15 (31,3%)

4 (7,4%)

19 (18,6%)

Total

48

54

102

Tabla IV. Asociación entre HER2 y RE

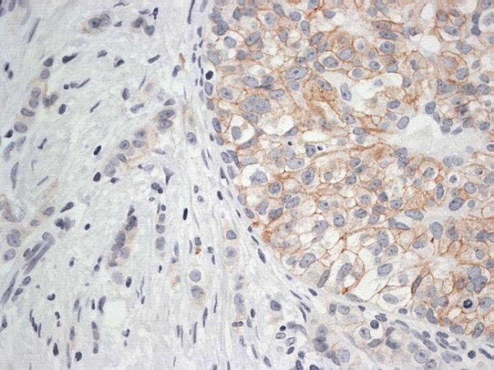
Una de las ventajas de los métodos inmunohistoquimicos es la posibilidad que brindan de preservar la arquitectura. De esta forma se pueden considrear como negativos aquellos casos de carcinomas ductales infiltrantes en los que la positividad unicamente se detecta en el componente intraductal como en uno de nuestros casos (Figura 11)

Existe actualmente mucha polémica sobre que técnica es mejor o que anticuerpo es mas aconsejable. No cabe duda que todas las técnicas tienen ventajas e inconvenientes. Ambas metodologias IHQ y FISH han sido aprobadas para uso clinico por la FDA. La IHQ es precisa, relativamente barata y facilmente realizable en cualquier laboratorio de anatomía patológica con mínimas dificultades técnicas. Por el contrario presenta un sistema de cuantificación relativamente dificultoso. La cuantificación con el FISH, es por el contrario mas precisa y relativametne facil de realizar, sin embargo la técnica en mas costosa, mas dificil técnicamente y mas larga. Se ha sugerido que probablemente una combinación de ambas seria lo ideal, especialmente en aquellos casos de dificil valoración.

Los estudios que han correlacionado la activación de HER2 mediante técnicas inmunohistoquímicas utilizando Herceptest y FISH han encontrado buenos resultados, especialmente para los casos negativos (Herceptest 0 o 1+) en los que el FISH no detecto ninguna amplificación. Igualmente, en los casos con positividad intensa (3+) la correlación fue muy buena con concordancia en un 97% de casos. Las discrepancias se obervaron en los casos de positividad moderada (2+). En estos casos la técnica de FISH únicamente detecta amplificación en un 10% de casos. La explicación a estas discrepancias podría atribuirse a una expresión independiente de la amplificación génica detectada mediante Herceptest (muy alta sensibilidad) y que el FISH no detecte amplificaciones de bajo nivel.

Algunos autores han propuesto el siguiente algoritmo a la hora de toma de decisiones para el tratamiento con Herceptin. Aquellos casos negativos con IHQ no se tratarian, los casos 3+ se tratarian. De la misma forma los casos negativos con FISH no se tratarian. Los casos + se tratarian. Unicamente plantearían dudas los casos que IHQ fueran 2+. En estos casos estaría indicada la realización de un FISH para valorar la amplificación (Figura 12)

En conclusión, nuestra experiencia con la técnica de Herceptest para la valoración de HER2/Neu es positiva, tanto desde el punto de vista metodológico como de valoración de resultados. No existe dificultad en valorar casos negativos (0 y 1+) ni casos positivos intensos (3+), únicamente algunos casos de positividad moderada (2+) podrían plantear alguna dificultad.

BIBLIOGRAFIA

1. Hanna WM, Kahn HJ, Pienkowska M, Blondal J, Seth A, Marks A. Defining a test for HER-2/neu evaluation in breast cancer in the diagnostic setting. Mod Pathol. 2001;14:677-85.

2. Ridolfi RL, Jamehdor MR, Arber JM. HER-2/neu testing in breast carcinoma: a combined immunohistochemical and fluorescence in situ hybridization approach. Mod Pathol. 2000 ;13:866-73.

3. Xu R, Perle MA, Inghirami G, Chan W, Delgado Y, Feiner H. Amplification of Her-2/neu Gene in Her-2/neu-Overexpressing and -Nonexpressing Breast Carcinomas and Their Synchronous Benign, Premalignant, and Metastatic Lesions Detected by FISH in Archival Material. Mod Pathol. 2002 ;15:116-24.

4. Thomson TA, Hayes MM, Spinelli JJ, Hilland E, Sawrenko C, Phillips D, Dupuis B, Parker RL. HER-2/neu in breast cancer: interobserver variability and performance of immunohistochemistry with 4 antibodies compared with fluorescent in situ hybridization. Mod Pathol. 2001 ;14:1079-86.

5. Baselga J. Herceptin alone or in combination with chemotherapy in the treatment of HER2-positive metastatic breast cancer: pivotal trials. Oncology 2001;61 Suppl 2:14-21

6. Hanna W, Kahn HJ, Trudeau M. Evaluation of HER-2/neu (erbB-2) status in breast cancer: from bench to bedside. Mod Pathol. 1999 ;12:827-34.

7. Bargmann CI, Hung MC, Weinberg RA. The neu oncogene encodes an epidermal growth factor receptor-related protein. Nature 1986

319:226-230

8. Yamamoto T, Ikawa S, Akiyama T et al. Similarity of protein coded by the c-human erb B-2 gene to epidermal growth factor receptor. Nature 1986 319:230-234

9. Slamon DJ, Clark GM, Wong SG et al. Human breast cancer: Correlation of relapse and survival with amplification of the HER-2

neu oncogene. Science 1987 235:177-182

10. Yung MCH, Lau YK. Basic science of HER-2/neu: a review. Semin Oncol 1999 26:51-59

Conganat-  2002

Uninet.edu & Club de Informática Aplicada de la SEAP


Correo-e contacto mailto:conganat@uninet.edu

principio | principal | siguiente | anterior |